
결핵은 항산균의 한 종류인 결핵균이 호흡기에 감염되는 질환인데요.
대한 결핵 협회에 따르면 우리나라는 OECD 국가 중에서 결핵 발병률과 사망률이 가장 높습니다.
아울러 결핵은 기침과 가래 등의 대표적인 증상들이 감기와 비슷해서 증상만으로는 결핵을 판별하기 어려운데요.
결핵이 의심된다면 항산균 도말 검사를 받아보는 것이 좋습니다.
신속하면서도 정확하게 결핵 감염 여부를 알 수 있기 때문인데요.

항산균 도말 검사는 환자의 결핵 감염 여부를 확인할 수 있는 검사입니다.
결핵균 검사 방법들 중에서 소요되는 시간이 가장 적은 편인데요.
검사 결과가 양성이면 발견된 항산균이 결핵균인지 비결핵 항산균인지를 확인하기 위해 핵산 증폭 검사를 추가로 받아야 합니다.

항산균 도말 검사는 환자의 가래를 유리 슬라이드에 얇게 바르고, 그 속에 항산균이 있는지 현미경으로 관찰하는 검사인데요.
정확한 검사 결과를 위해 3~5일간 연속으로 가래를 채취하고 검사를 실시합니다.
환자가 가래를 채취할 때는 반드시 아침 식사를 하기 전에 가래를 뱉어야 하는데요.
그 이유는 밤 사이에 폐에 고인 가래에 항산균이 가장 많이 모여서 아침에 뱉은 가래로 검사하는 것이 가장 정확할 뿐만 아니라, 아침 식사를 하면 음식물 속에 들어있는 세균이 환자의 가래를 오염시킬 수 있기 때문입니다.
그래서 가급적 아침 식사 전에 뱉은 가래로 검사를 해야 하는데요.

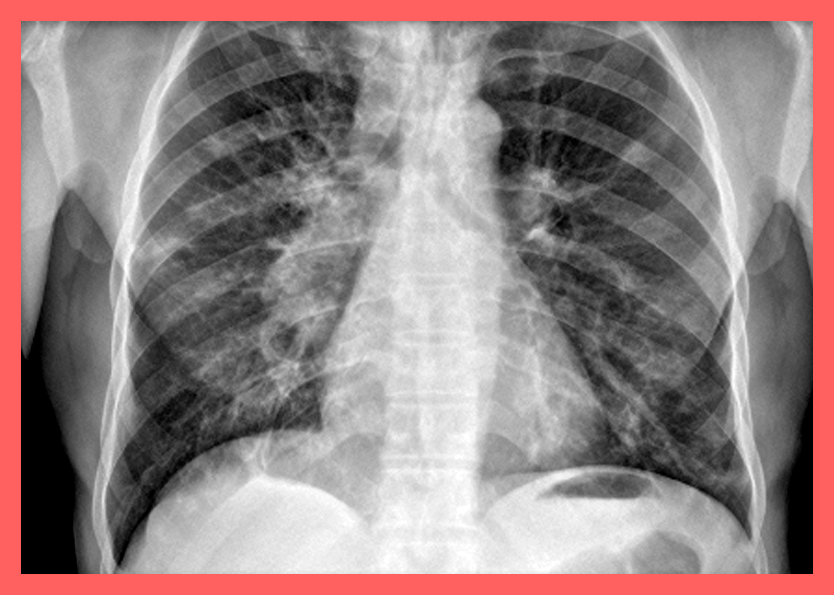
결핵 감염이 의심된다면 항산균 도말 검사를 받아야 한다. 흉부 X선 검사에서 폐결핵 의심 소견을 받았거나 기침, 가래, 발열 등의 호흡기 질환 증상이 2~3주 이상 지속되면 결핵 감염을 의심해 봐야 합니다.
결핵 환자와 접촉한 사람도 검사받는 것이 좋은데요.
아울러 항산균 도말 검사는 결핵 환자의 치료 경과를 확인하기 위해서도 사용됩니다.
검사 결과가 음성이라면 환자가 항산균에 감염되지 않았음을 의미하는데요.
그러나 간혹 항산균 도말 검사 결과가 음성이어도 기침, 가래 등의 결핵 증상이 지속될 수 있습니다.
이때는 민감도가 더 높은 핵산 증폭 검사를 받고 항산균 감염 여부를 다시 확인해야 하는데요.
양성 결과가 나왔다고 해서 모두 결핵 감염으로 진단하는 것은 아닙니다.
대한 결핵 협회에 따르면 양성 판정을 받은 환자들 중에서 10%가 비결핵 항산균 감염자인데요.
따라서 환자가 결핵균에 감염된 것인지, 비결핵 항산균에 감염된 것인지를 판별하기 위해 핵산 증폭 검사를 실시해야 합니다.

자신 있는 삶을 위해 정기검진은 선택이 아닌 필수인데요.
설마 지금까지 건강한 내가 이런 병에 걸리겠어?라는 안일한 생각으로 자기의 건강을 과시하다가는 불현듯 심각한 질환을 진단받을 수도 있으니 유의해야 합니다.
자신의 몸이 평소와는 조금 다르게 느껴지고 어딘가 불편한 곳이 하나 둘 생기면 큰 병이 아닐까 두렵고 걱정이 되는 경험을 해보셨을 텐데요.
이러한 이유로 큰 질병이 확인될까 봐 두려워서 건강검진을 미루고 있는 사람들이 있습니다.
하지만 이는 매우 어리석은 선택인데요. 주변 사람, 특히 가족들에게도 큰 피해를 줄 수 있습니다.
그렇기에 사전에 미리 예방하는 좋은 방법인 종합 건강검진을 주기적으로 받는 것은 굉장히 중요한데요.

이번에는 경기도 분당에 위치한 건강검진센터인 메디피움에 대하여 알아보는 시간을 가져보도록 하겠습니다.
프리미엄 건강검진 센터로 유명한 메디피움은 검진하이의 도움을 받아 건강검진을 진행하시면 합리적인 가격으로 편리하게 건강검진을 수검하실 수 있는데요.
분당 건강검진센터 메디피움은 전체적인 리모델링을 완벽하게 마쳤기에 깔끔하면서도 고급스러운 느낌을 가진 프리미엄 건강검진센터로 손꼽힙니다.
종합 건강검진센터를 비롯하여 내과, 치과를 비롯한 총 6개의 전문 진료과가 긴밀하게 협력하는 시스템을 갖추고 있기에 편안하면서도 차별화된 서비스를 받으실 수 있는데요.
오시는 길은 서현역 3번 출구 근처에 위치하고 있으며, 지하철을 이용하신다면 서현역 3번 출구에서 도보로 15분 거리에 있습니다.

경기도 성남시 분당구 중앙공원로40번길 32

1992년 신뢰받고 선택받는이라는 슬로건을 갖춰 수십년간 한곳에서 꾸준하게 의료 서비스를 제공하는 메디피움분당은 이미 분당뿐만 아니라 근처 주민들에게도 믿고 맡길 수 있는 종합 건강검진센터로 손꼽히는 곳인데요.
서현역에서도 멀지 않은 거리에 위치해 있기 때문에 찾으시는 데 불편한 점이 없으며 풍부한 임상경험과 연구를 통해 얻은 노하우를 가지고 있는 전문 의료진들로 구성되어 있기 때문에 안심하고 건강검진을 받으실 수 있는 병원입니다.
또한 신속하면서도 정확한 종합 건강검진을 받으실 수 있는데요.
개인에 특화된 담당자를 통해 지속적인 관리가 가능하며 당일 검진과 결과까지 모두 하루에 확인이 가능한 원데이 서비스를 제공하고 있습니다.

더불어 메디피움만의 특화된 건강검진도 있는데요.
유전자 검사를 통해 암유전자, 뇌질환 유전자, 기타 성인병과 다양한 질병을 조기에 진단할 수 있습니다.
위에서 언급했듯이 종합 건강검진 예약센터 검진하이를 통해 메디피움의 건강검진을 예약하시게 되면 특별한 혜택을 만나보실 수 있는데요.
병원에서 예약하는 것과 동일한 시설, 장비, 기타 다양한 부대시설을 이용하실 수 있으며, 비급여 항목이 추가로 할인되어 합리적인 가격으로 검진을 받으실 수 있습니다.

▲▲▲▲▲▲▲▲
메디피움분당 이벤트
세부사항은 홈페이지를 방문하시면 좀 더 자세히 확인하실 수 있으며, 전화나 SNS를 이용하셔도 자신에게 맞는 건강검진 프로그램에 대하여 면밀하게 상담받을 수 있는데요.
특히 종합 건강검진이 처음이신 분들에게는 본인에게 맞는 프로그램 선택 및 어려운 용어들에 대하여 상세히 설명드리고 있습니다.
비싼 프로그램이라고 다 좋은 것이 아니라 자신에게 필요한 검진 프로그램을 찾는 것이 중요한데요.
이에 검진하이는 최선을 다하고 있습니다.

▲▲▲▲▲▲▲▲
검진하이 홈페이지
내 가족의 행복은 자신의 건강으로부터 시작한다는 말이 있는데요.
현재의 소중한 건강을 방치하지 말고 건강한 상태로 유지시키는 것에도 신경 써야 합니다.
돈, 명예보다 소중한 것이 건강이며, 이는 동서고금 역사에서도 확인되는 사실입니다.
그러나 공기의 소중함을 모르듯이, 우리는 건강의 소중함을 모르고 생활하다 돌이킬 수 없는 불행을 맞곤 하는데요.
질병을 진단받은 후 후회하는 우를 범하지 말고 소중한 건강은 건강할 때 지켜야 합니다.
이번 기회에 종합 건강검진 예약 전문센터 검진하이와 메디피움을 통해 자신과 가족의 상태를 체크하여 행복한 미래를 설계하시길 희망합니다.
결핵은 항산균의 한 종류인 결핵균이 호흡기에 감염되는 질환인데요.
대한 결핵 협회에 따르면 우리나라는 OECD 국가 중에서 결핵 발병률과 사망률이 가장 높습니다.
아울러 결핵은 기침과 가래 등의 대표적인 증상들이 감기와 비슷해서 증상만으로는 결핵을 판별하기 어려운데요.
결핵이 의심된다면 항산균 도말 검사를 받아보는 것이 좋습니다.
신속하면서도 정확하게 결핵 감염 여부를 알 수 있기 때문인데요.
항산균 도말 검사는 환자의 결핵 감염 여부를 확인할 수 있는 검사입니다.
결핵균 검사 방법들 중에서 소요되는 시간이 가장 적은 편인데요.
검사 결과가 양성이면 발견된 항산균이 결핵균인지 비결핵 항산균인지를 확인하기 위해 핵산 증폭 검사를 추가로 받아야 합니다.
항산균 도말 검사는 환자의 가래를 유리 슬라이드에 얇게 바르고, 그 속에 항산균이 있는지 현미경으로 관찰하는 검사인데요.
정확한 검사 결과를 위해 3~5일간 연속으로 가래를 채취하고 검사를 실시합니다.
환자가 가래를 채취할 때는 반드시 아침 식사를 하기 전에 가래를 뱉어야 하는데요.
그 이유는 밤 사이에 폐에 고인 가래에 항산균이 가장 많이 모여서 아침에 뱉은 가래로 검사하는 것이 가장 정확할 뿐만 아니라, 아침 식사를 하면 음식물 속에 들어있는 세균이 환자의 가래를 오염시킬 수 있기 때문입니다.
그래서 가급적 아침 식사 전에 뱉은 가래로 검사를 해야 하는데요.
결핵 감염이 의심된다면 항산균 도말 검사를 받아야 한다. 흉부 X선 검사에서 폐결핵 의심 소견을 받았거나 기침, 가래, 발열 등의 호흡기 질환 증상이 2~3주 이상 지속되면 결핵 감염을 의심해 봐야 합니다.
결핵 환자와 접촉한 사람도 검사받는 것이 좋은데요.
아울러 항산균 도말 검사는 결핵 환자의 치료 경과를 확인하기 위해서도 사용됩니다.
검사 결과가 음성이라면 환자가 항산균에 감염되지 않았음을 의미하는데요.
그러나 간혹 항산균 도말 검사 결과가 음성이어도 기침, 가래 등의 결핵 증상이 지속될 수 있습니다.
이때는 민감도가 더 높은 핵산 증폭 검사를 받고 항산균 감염 여부를 다시 확인해야 하는데요.
양성 결과가 나왔다고 해서 모두 결핵 감염으로 진단하는 것은 아닙니다.
대한 결핵 협회에 따르면 양성 판정을 받은 환자들 중에서 10%가 비결핵 항산균 감염자인데요.
따라서 환자가 결핵균에 감염된 것인지, 비결핵 항산균에 감염된 것인지를 판별하기 위해 핵산 증폭 검사를 실시해야 합니다.
자신 있는 삶을 위해 정기검진은 선택이 아닌 필수인데요.
설마 지금까지 건강한 내가 이런 병에 걸리겠어?라는 안일한 생각으로 자기의 건강을 과시하다가는 불현듯 심각한 질환을 진단받을 수도 있으니 유의해야 합니다.
자신의 몸이 평소와는 조금 다르게 느껴지고 어딘가 불편한 곳이 하나 둘 생기면 큰 병이 아닐까 두렵고 걱정이 되는 경험을 해보셨을 텐데요.
이러한 이유로 큰 질병이 확인될까 봐 두려워서 건강검진을 미루고 있는 사람들이 있습니다.
하지만 이는 매우 어리석은 선택인데요. 주변 사람, 특히 가족들에게도 큰 피해를 줄 수 있습니다.
그렇기에 사전에 미리 예방하는 좋은 방법인 종합 건강검진을 주기적으로 받는 것은 굉장히 중요한데요.
이번에는 경기도 분당에 위치한 건강검진센터인 메디피움에 대하여 알아보는 시간을 가져보도록 하겠습니다.
프리미엄 건강검진 센터로 유명한 메디피움은 검진하이의 도움을 받아 건강검진을 진행하시면 합리적인 가격으로 편리하게 건강검진을 수검하실 수 있는데요.
분당 건강검진센터 메디피움은 전체적인 리모델링을 완벽하게 마쳤기에 깔끔하면서도 고급스러운 느낌을 가진 프리미엄 건강검진센터로 손꼽힙니다.
종합 건강검진센터를 비롯하여 내과, 치과를 비롯한 총 6개의 전문 진료과가 긴밀하게 협력하는 시스템을 갖추고 있기에 편안하면서도 차별화된 서비스를 받으실 수 있는데요.
오시는 길은 서현역 3번 출구 근처에 위치하고 있으며, 지하철을 이용하신다면 서현역 3번 출구에서 도보로 15분 거리에 있습니다.
경기도 성남시 분당구 중앙공원로40번길 32
1992년 신뢰받고 선택받는이라는 슬로건을 갖춰 수십년간 한곳에서 꾸준하게 의료 서비스를 제공하는 메디피움분당은 이미 분당뿐만 아니라 근처 주민들에게도 믿고 맡길 수 있는 종합 건강검진센터로 손꼽히는 곳인데요.
서현역에서도 멀지 않은 거리에 위치해 있기 때문에 찾으시는 데 불편한 점이 없으며 풍부한 임상경험과 연구를 통해 얻은 노하우를 가지고 있는 전문 의료진들로 구성되어 있기 때문에 안심하고 건강검진을 받으실 수 있는 병원입니다.
또한 신속하면서도 정확한 종합 건강검진을 받으실 수 있는데요.
개인에 특화된 담당자를 통해 지속적인 관리가 가능하며 당일 검진과 결과까지 모두 하루에 확인이 가능한 원데이 서비스를 제공하고 있습니다.
더불어 메디피움만의 특화된 건강검진도 있는데요.
유전자 검사를 통해 암유전자, 뇌질환 유전자, 기타 성인병과 다양한 질병을 조기에 진단할 수 있습니다.
위에서 언급했듯이 종합 건강검진 예약센터 검진하이를 통해 메디피움의 건강검진을 예약하시게 되면 특별한 혜택을 만나보실 수 있는데요.
병원에서 예약하는 것과 동일한 시설, 장비, 기타 다양한 부대시설을 이용하실 수 있으며, 비급여 항목이 추가로 할인되어 합리적인 가격으로 검진을 받으실 수 있습니다.
▲▲▲▲▲▲▲▲
메디피움분당 이벤트
세부사항은 홈페이지를 방문하시면 좀 더 자세히 확인하실 수 있으며, 전화나 SNS를 이용하셔도 자신에게 맞는 건강검진 프로그램에 대하여 면밀하게 상담받을 수 있는데요.
특히 종합 건강검진이 처음이신 분들에게는 본인에게 맞는 프로그램 선택 및 어려운 용어들에 대하여 상세히 설명드리고 있습니다.
비싼 프로그램이라고 다 좋은 것이 아니라 자신에게 필요한 검진 프로그램을 찾는 것이 중요한데요.
이에 검진하이는 최선을 다하고 있습니다.
▲▲▲▲▲▲▲▲
검진하이 홈페이지
내 가족의 행복은 자신의 건강으로부터 시작한다는 말이 있는데요.
현재의 소중한 건강을 방치하지 말고 건강한 상태로 유지시키는 것에도 신경 써야 합니다.
돈, 명예보다 소중한 것이 건강이며, 이는 동서고금 역사에서도 확인되는 사실입니다.
그러나 공기의 소중함을 모르듯이, 우리는 건강의 소중함을 모르고 생활하다 돌이킬 수 없는 불행을 맞곤 하는데요.
질병을 진단받은 후 후회하는 우를 범하지 말고 소중한 건강은 건강할 때 지켜야 합니다.
이번 기회에 종합 건강검진 예약 전문센터 검진하이와 메디피움을 통해 자신과 가족의 상태를 체크하여 행복한 미래를 설계하시길 희망합니다.